冠脉造影
一、项目介绍
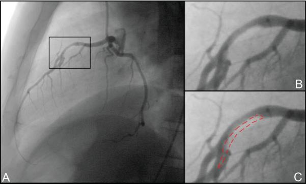
冠状动脉造影是临床诊断冠状动脉病变的重要影像学检查方法,能够清晰显示冠状动脉的血流情况及血管的狭窄程度,被广泛认为是诊断冠心病的“金标准”。冠脉造影通过注入造影剂后获取血管影像,医生依据影像对冠状动脉的病变情况进行诊断与介入手术治疗。
本项目提出一种基于视觉 Mamba 神经网络的冠脉造影狭窄智能检测技术,并设计了两个创新性的网络架构:Mamba-CAGSeg和 Mamba-CAGDetect,分别用于血管精确分割和狭窄检测,旨在提升图像分析的自动化和准确性,从而解决传统手工分析存在的低效和主观误差问题。该技术在检测精度和定位效果方面表现出色,成功应对了冠脉图像复杂场景中的狭窄检测难题,同时具备高效的实时推理性能。

二、团队介绍
本项目团队由22软件1班吕真欢、23计科3班麦雅悦2名的学生组成,团队指导老师为李思、何远清。本团队成员的专业知识广泛涉及计算机科学、人工智能及图像处理等多个相关领域,各自专长相互补充,形成了强大的科研合力。团队成员秉持着严谨求实的科研态度,勇于创新,敢于挑战,始终保持着对未知领域的强烈好奇心和探索欲。团队紧密围绕着冠脉造影狭窄检测临床需求的实际问题,对科研项目中涌现的各类难题进行了详尽而深入的研究探讨。在导师的悉心指导下,团队成员集思广益,共同构思出创新性的解决方案,借助高效的团队协作与密切沟通,项目内容持续优化与精进,确保科研成果的准确性和实用性。我们团队高度重视对外学习,积极学习各类前沿学术研讨会和行业峰会带来的最新研究成果与行业动态,不断汲取新知,紧跟科技发展步伐,勇于在实践中尝试新技术与新方法,以期在冠脉造影狭窄检测这充满挑战的领域内取得突破性进展。我们坚信,只有不断突破自我,才能勇攀科技高峰,为人类健康事业贡献出我们的智慧与力量。


三、成果展示
团队已发表高水平SCI论文1篇(已收录)。同时,团队踊跃参与了多项比赛,并取得好成绩。2025年7月,获得“2025睿抗机器人开发者大赛(RAICOM)广东赛区AI视觉应用赛”项目三等奖:2025年6月,获得“2025广东省大学生计算机设计大赛AI视觉应用创新挑战赛”二等奖;2024年6月,获得2024年度“大学生创新创业训练计划(创新训练)”国家级立项;2024年下半年成功申请入驻学校众创空间;2024年12月,获得2025年“挑战杯”大学生课外学术科技作品校内选拔赛院级二等奖。除此之外,团队还通过申请专利,凸显该技术在人工智能与医疗影像领域的卓越创新。




四、未来展望
团队通过创造性地融合了深度学习技术和图像处理方法,有效解决了技术难题,实现了冠脉造影狭窄智能检测的高精度、高准确性与高效率。这一系列的探索与实践,不仅标志着团队在技术实力上取得了显著的进步,更深刻地让我们领悟到团队合作所蕴含的无限潜力与价值。展望未来,我们将持续探索技术前沿,深化冠脉造影狭窄检测的应用,力求项目圆满收官,并为人工智能和医学领域带来更多创新性贡献。
稿件来源:创新创业学院
撰稿:冠脉造影工作室
图片:冠脉造影工作室
初审:罗秀鸣
复审:阴 凡
终审:余永龙
地址:广州理工学院二号教学楼(科创楼)406、407室
电话:020-39729590
邮箱:thxycxcy@163.com